Welcome to SL Endodontics,your trusted specialist dentist.
Providing expert, gentle endodontic care using advanced technology for precise, reliable, and lasting results.
Dr. Sameer Lakho
BA BDentSc MFDS RCSed MSc Endodontics.
Our Treatments
At SL Endodontics, we focus exclusively on saving natural teeth through advanced root canal care.
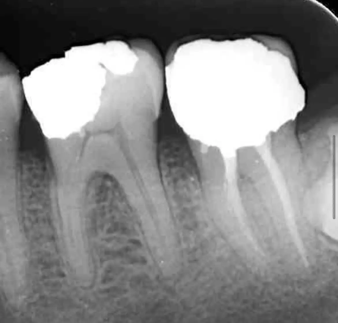
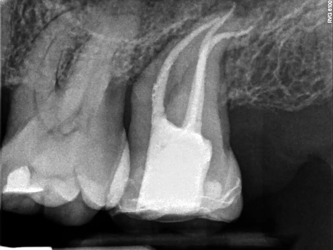
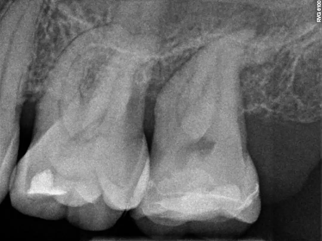
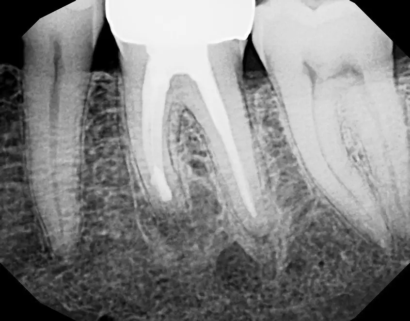
See the Difference Specialist Care Makes






Compare real treatment results through detailed before-and-after X-rays, showing how expert care restores dental health, precision, and long-term outcomes.
Patient's Feedback
Testimonials
S.R
Google Reviews
“Couldn’t recommend Dr Sameer Lakho highly enough. I am delighted with the results and can hardly believe the difference.”
A.H
Google Reviews
“Kind, caring, and masterful. Reassuring and excellent in his work as an endodontist. I am most grateful for Dr Sameer Lakho’s superb work.”
M.A
Google Reviews
“An amazing dentist who gives his patients personalized care and restores their confidence with their renewed smile!”
H.K
Google Reviews
“Fantastic experience! A massive thank you to Dr Sameer Lakho for the brilliant job on my crown, it looks amazing. “
G.A
Google Reviews
“I couldn’t recommend him enough, and to say that I am happy with my new teeth is an understatement. Thank you Dr Sameer and team!”
S.R
Google Reviews
“I had treatment lasting three hours last Tuesday. I want to say a big thank you to Dr Sameer Lakho and his lovely nurse for their care, kindness, and understanding.”
“Your comfort, trust, and care are at the heart of everything we do.”
Have
you any questions?
Find answers to common questions
Yes. In Ireland, root canal treatments qualify for 20% tax relief under the government’s Med 2 scheme. We will provide you with the necessary form so you can claim back part of the treatment cost.
With modern techniques and specialist care, root canal treatment is usually no more uncomfortable than getting a regular filling. Local anaesthetic is always used to make sure the procedure is as painless as possible.
Far far away, behind the word mountains, far from the countries Vokalia and Consonantia, there live the blind texts. Separated they live in Bookmarksgrove right at the coast
While all dentists receive basic training in root canal procedures, endodontists complete several years of advanced training and focus exclusively on this type of care. Specialists like Dr. Sameer Lakho use advanced equipment (operating microscopes, digital imaging, ultrasonics) and handle complex cases every day.